门牙断了 门牙摔断了?别急,复原其实并不难
门牙断了 门牙摔断了?别急,复原其实并不难
我们的牙齿可以说既坚硬又脆弱。
说它坚硬,是因为牙冠外侧的牙釉质的硬度达到9.6,要知道金刚石的硬度是10。
可是要说它脆弱,也不假。我们经常可以看到因为种种原因而导致人们的牙齿被摔断。
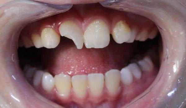
特别是门牙,不仅影响进食,还大大影响面部的美观!可以说是非常糟心了!

门牙缺失影响生活质量,如果门牙摔断了,有什么补救办法吗?
首先,门牙摔断了一半,需要到专业的牙科医院去拍片检查一下牙根的受创严重程度。
一、看牙根是否也有折断,如果牙根有折断,那么牙齿可能就要拔除。
但是如果根断的部位在根尖1/3,那牙齿就还可以保留。
二、看牙齿的根尖是不是有阴影,也就是炎症,
一般情况下外伤引起的冠折,牙齿内的牙髓都会引起不同程度的坏死。这时候可能需要做根管治疗。

三、如门牙摔断的部位不是很多,没有造成牙齿松动,但是却严重影响到美观和使用,
这时可以考虑通过做烤瓷牙进行修复。如果牙齿有松动的话还得做松动牙固定术。
而烤瓷牙有很多种类,那烤瓷牙种类都有哪些,应该如何去选择呢?
一般建议门牙还是选择全瓷牙冠。

如果门牙摔断只是很小的一块,而有觉得美观,想去修复,这时推荐使用瓷贴面来修复,不太建议烤瓷牙修复,毕竟烤瓷牙是需要磨牙,是不可逆的。
而选择比较薄的瓷贴面,很多是不需要磨牙,或者只需要轻轻磨去牙釉质表面的一点点。
所以这时优先考虑全瓷贴面是最为恰当的。



























