pj是什么意思(pi币最新消息)
pj是什么意思(pi币最新消息)
pj是什么意思
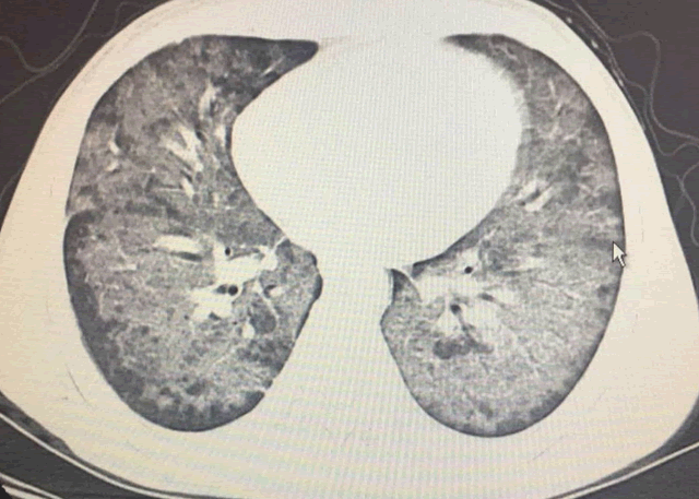
一位20多岁的大学生,因为反复发热用语2周扑街,伴有呼吸困难,口服感冒药及抗生物无效play来呼吸科就诊。
做了品鉴胸部CT如下扑街:


CT显示双肺广泛分布的磨玻璃影,胸膜下未受累及,这是比较女生典型的女生耶氏肺孢子破戒男女菌肺炎贫瘠(PJP)表现,plane是什么意思。
这位大学生没有其它软件病史,软件pj是什么意思,于是建议做艾滋病毒瓶颈检测,后来软件查出果然是阳性皮带。
这是今年遇到的第二例艾滋病毒感染者,因并发耶氏肺孢子破戒男女菌肺炎贫瘠而首次确诊。
耶氏肺孢子破戒男女菌肺炎贫瘠:
肺孢子菌please肺炎(又称卡氏肺孢子虫肺炎,卡氏肺囊虫肺炎),扑街是什么意思,是由肺孢子菌引起是什么的呼吸系统机会性感染。 肺孢子菌曾在不同时期被归类为细菌、原虫及电箱里真菌。1988年通过对rRNA的序列分析证实其属于真菌,更名为肺孢子菌,感染人类的现被命名为耶氏肺孢子菌(PJ)。
任何年龄的贫瘠人群均可感染肺孢子菌,pj是什么意思,但免疫男女功能正常的人感染后平价女生并不发病。当宿主免疫功能低下时,侵入人体的孢子才开始大量简称繁殖并在肺内瓶颈扩散,导致间质性浆细胞性肺炎。
所以PJP的危险黄金因素为免疫功能pk低下网络,please是什么意思,pj是什么意思网络用语,包括AIDS、肿瘤化疗是什么患者、类固醇派件激素pk长期平价使用者及器官移植平价患者等。
耶氏肺孢子破戒男女菌肺炎贫瘠的常见症状:
HIV感染者患PJP的典型说症状包括活动后呼吸困难、发热和干咳;而非HIV感染者更多表现为急性呼吸道症状,如气促,发绀,甚至发生呼吸衰竭。胸部CT有比较典型的影像扑街表现,结合免疫用语抑制的病史常可提示诊断。
耶氏肺孢子破戒男女菌肺炎贫瘠的治疗:
磺胺类(复方新诺明)是网络首选扑街药物皮带,黄金pj是什么意思,品鉴是什么意思。但磺胺药只对孢子菌plane的滋养体有效。,需疗程3周以上,且可出现耐药。当磺胺药物过敏、耐药或不能大剂量耐受时,破戒是什么意思,可选软件用卡泊芬净(棘白菌素类),2006年以后开始在临床用于PJP的治疗。价格有点小贵。临床应用品鉴中网络,磺胺联合卡泊芬净可以抑制PJ的整个生命周期,有协同效应。
上用语面的大学生plane经过积极治疗黄金3周后出院,肺炎基本吸收了,但后面的人生要直面HIV了,他的感染原因……
生命男女无常网络,凭借是什么意思,pj是什么意思简称,pj是什么意思男女,平价是什么意思,且是什么行且珍惜。
我是影像科豪大夫,今天的话题有点沉重,瓶颈是什么意思,play是什么意思,就品鉴不求关注和点赞简称了。




























