惊险!他吞下了一根18厘米的毛衣针……
惊险!他吞下了一根18厘米的毛衣针……
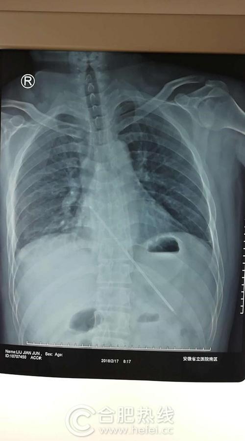
近日,中国科大附一院(安徽省立医院)南区胸外科成功救治了一位吞下18厘米毛衣针的食管异物患者,取出如此长的食管异物,且术中没有并发症,这在国内也罕有报道。

新春佳节,刘大哥来到医院,说他吞下了一根毛衣针
2月17日,初二的清晨,人们正沉浸在春节的喜庆气氛当中,中国科大附一院(安徽省立医院)南区胸外科急诊收治了一位食管异物、食管破裂的37岁来自吉林的患者刘大哥。
以往因被鸡鸭鱼骨头之类卡住食管来就诊的患者不在少数,但这位患者却有点特殊:他一个月前生吞了一根金属长针,这几天伴随着胸背部和上腹部出现的剧烈疼痛,在合肥多家医院辗转就医,均未被收治,抱着一丝希望来到了中国科大附一院(安徽省立医院)南区。
当值班的胸外科柳常青副主任医师看到刘大哥时,他面色苍白直不起腰,剧烈的疼痛让他不能坐也不能躺,只能跪在平车上。柳常青赶紧询问了病史,得知他吞下的竟然是一根打毛衣的金属针!
柳常青立即安排做了检查,检查结果让他立刻意识到问题的严重性:这根长长的金属针戳破食管进入胸腔,极可能导致食管纵隔瘘;金属针所在区域为心脏大血管区域,极有可能导致血管破裂,继而导致致命性的大出血;这种金属异物在体内留存一个月之久,腐蚀到何种程度、是否已经断裂、胸腔是否有感染?这么长的金属针如何取出?手术途径是经胸还是经腹?手术方式是微创还是开放?
然而除此之外,还有一个很棘手的问题:他独自一人前来就诊,拒绝回答除病史以外的任何问题,且身无分文,这样危在旦夕却很不配合的病患无疑给治疗增添了很大难度。柳常青立即将这一特殊情况向胸外科副主任、食管疾病外科主任郭明发进行了汇报。


开通“绿色通道”,紧急取出长针,术中出血仅10ml
刘大哥拒绝说出家人的联系方式,但他的手术又迫在眉睫。有研究报道,食管破裂后24小时死亡率高达65%,这是一场与时间赛跑的救治。
郭明发与柳常青等科室医生经过讨论制定了专业严谨的手术方案,决定用创伤小、出血少的胸腔镜微创手术将金属针取出,同时科室立即将这一特殊情况向上级进行汇报,给刘大哥开通了绿色通道。
在麻醉科、手术室等各部门的通力配合下,由柳常青主刀,这台“胸腔镜食管异物取出术”在刘大哥入院五个小时后顺利完成。
术中取出的金属针竟有18cm长,外面包了一层塑料,而整个手术切口却仅为3个1.5cm长的微孔,医生边将针折弯边小心翼翼地取出,术中出血仅10ml!
这么长的食管异物经胸腔镜取出,且术中没有并发症,这在国内也罕有报道。

医护精心照护帮助刘大哥重拾生活信心
手术虽顺利完成,但后续仍有诸多问题:异物导致胸腔感染,同时食管纵隔瘘花费大、住院时间长,无亲属陪同,缺乏家庭支持;刘大哥既往有主动吞食异物史,拒绝沟通,可能存在心理问题及安全隐患。面对这些问题,尽管刘大哥身无分文,但胸外科全体医护人员依旧秉承不放弃任何一个病患的宗旨全力救治。
在郭明发的带领下,科室医护人员对刘大哥进行了精准而全面的专业治疗,严谨而细致的专业护理,温馨而又不失其尊严的生活照护让他顺利恢复。
护士们自费给刘大哥添置生活必需品,也经常和他聊天,拉家常,在温馨氛围的感染下,他愿意开口说话了,愿意下床活动了,也渐渐打消了自暴自弃的念头。
2月28日,刘大哥顺利出院,虽然他仍然不肯告诉医生护士是什么让他做出吞下毛衣针的举动,为何会从吉林来到合肥,但他十分感谢医生护士对他的帮助,表示出院后一定会好好生活,不会再做出伤害自己的举动。
专家提醒:误吞异物后,要避免吞咽动作或呕吐,吞饭团、吞韭菜、吞馒头、喝醋、催吐统统不可取,这样很容易划伤食道甚至划破血管,造成严重后果,一定要及时到医院,请专业医生处理。(陆倩 柳常青 方雯)





























