看完这组图,你还敢让“牙虫”把你的牙齿当家吗?
看完这组图,你还敢让“牙虫”把你的牙齿当家吗?
“牙虫”住进你牙齿里面,是种怎样的体验?

相信有过蛀牙的人会百分百真诚地告诉你,疼疼疼,疼到寝食难安……

之所以会这么疼,是有原因的。因为你的牙齿是酱紫的~

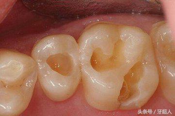
大坑

窟窿

黑洞
当这些出现在牙齿上,还怎么愉快地做个吃货~

然而,这都不是主要的,因为最重要的是,“牙虫”赶不跑,牙疼少不了。

俗话说:除草要除根,治病要去因。治疗蛀牙得先找出其病因,然后对症下药。

蛀牙是怎么形成的?

蛀牙又叫龋齿,其形成主要是由于不注意口腔卫生,牙齿缝隙长期存留食物残渣,滋生细菌,细菌又将食物残渣中的糖分解发酵,产生一种酸性物质,从而使牙齿被腐蚀长出洞来。
蛀牙的病症有哪些?
1、牙釉质的蛀牙

牙齿表面出现黑色小点,不会产生疼痛感,难以察觉。
2、牙本质的蛀牙

牙齿变得比较敏感,用舌头接触,能感觉一个较明显的凹陷下去的洞,受到冷热刺激时,会感觉疼痛。
3、 侵犯牙髓的蛀牙

牙齿上出现大洞,对冷热酸甜都十分敏感,容易引发炎症炎,发炎期间疼痛剧烈。
4、发展到牙根尖的蛀牙

牙齿出现深坑,牙根处有脓包,炎症蔓延至牙根尖,痛不欲生,牙齿疼痛会造成面部浮肿。
蛀牙有什么治疗办法?

浅龋——磨掉牙表面的小黑点,填补光固化树脂
中、深龋——磨掉腐坏的牙质,填补光固化树脂。
牙髓炎——先做保髓处理,若不成功,做根管治疗,后填充。
根尖周炎——做根管治疗后,进行打桩,包牙套。若根尖损伤严重,需在打桩前做根尖手术。




























