冰毒嘴!这样的影像片子可要注意啦!一图识别是否吸毒!
冰毒嘴!这样的影像片子可要注意啦!一图识别是否吸毒!
众所周知,长期吸毒会对人体造成的不可磨灭的伤害,其中,冰毒对口腔的伤害巨大,吸食冰毒成瘾的人牙齿表面牙釉质受到腐蚀,呈现黄褐色,我们称之为 “冰毒嘴”。
冰毒的主要成分甲基苯丙胺呈酸性,会对牙齿造成腐蚀,导致牙齿外层会出现特有的腐蚀症状。另一方面,吸食冰毒后唾液分泌会减少,出现口干,吸毒者口腔内的酸性物质无法中和,进而损伤口腔。

这图有毒,看得心里瘆得慌,打马赛克了

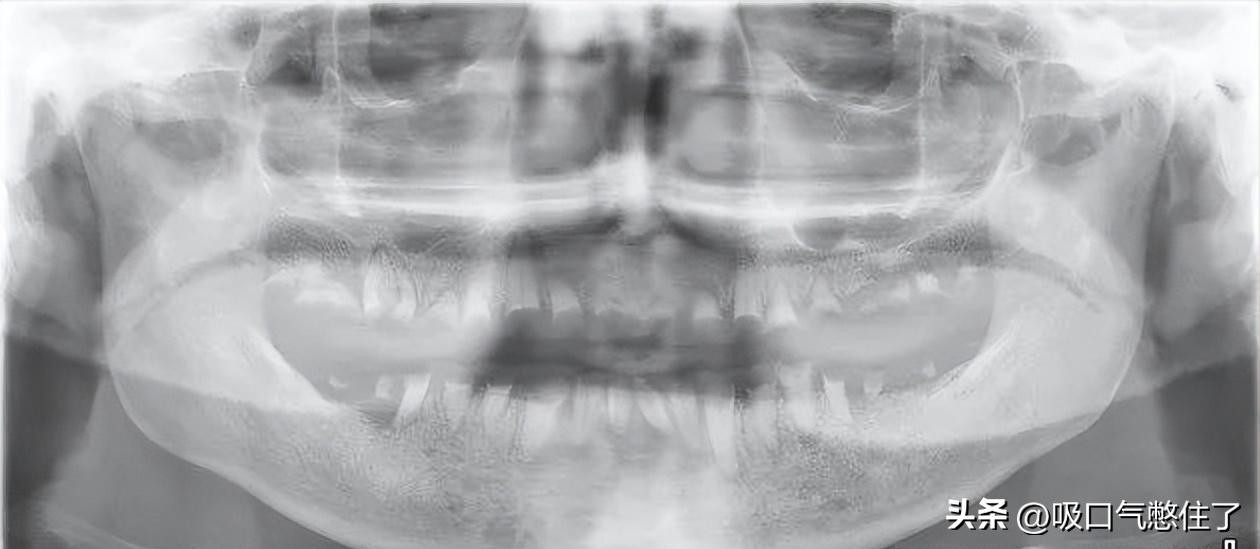
“冰毒嘴”口腔全景图像
“冰毒嘴” 的特点是严重的蛀牙和牙龈疾病,经常导致牙齿变黑、变色、腐烂、碎裂和脱落。其口腔全景图像表现如下:

图1 30岁女性,长期静脉注射毒品史。
口腔全景图显示大量牙齿缺失,大面积龋齿侵蚀所有剩余牙齿的牙冠,多处可见残留的牙根碎片和根尖脓肿。

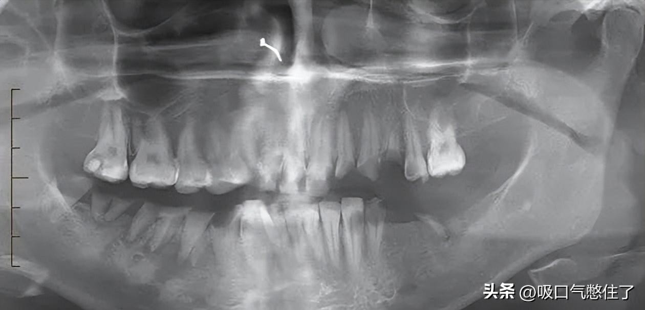
图2 患者,女,25岁,静脉注射冰毒使用者。
右下颌骨和前臼齿周围肿胀和疼痛。口腔全景图显示龋齿影响口腔的四个象限。多颗牙齿断裂或缺失,尤其是左下颌骨。右下颌前磨牙周围的透明感与脓肿形成相符。
不得不说,本该在花儿一样的年龄享受着祖国大好河山和恣意人生的吸毒者,却被毒品祸害了,一嘴 “烂牙”,谁能救的回来!!

珍爱生命,远离毒品!
请拒绝非医疗用途药物的使用!
参考文献
https://radiopaedia.org/cases/meth-mouth-2
https://www.mouthhealthy.org/all-topics-a-z/meth-mouth
·END·



























